欢迎来到知嘟嘟! 联系电话:13095918853 卖家免费入驻,海量在线求购! 卖家免费入驻,海量在线求购!
知嘟嘟
我要发布
联系电话:13095918853
知嘟嘟经纪人
收藏
专利号: 2018113893281
申请人: 南京林业大学
专利类型:发明专利
专利状态:已下证
专利领域: 生物化学;啤酒;烈性酒;果汁酒;醋;微生物学;酶学;突变或遗传工程
更新日期:2024-01-05
缴费截止日期: 暂无
价格&联系人
年费信息
委托购买

摘要:

权利要求书:

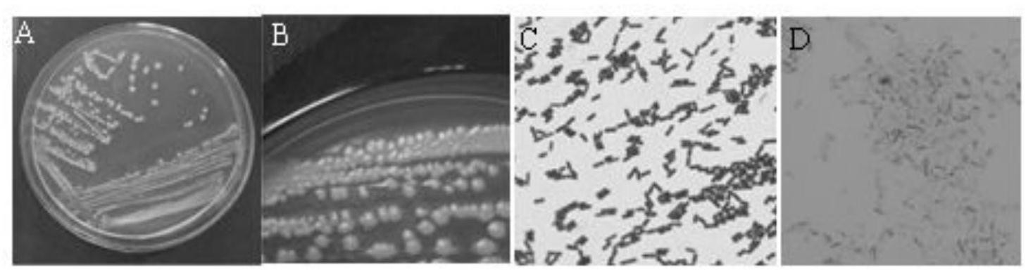
1.一株林木根际细菌,分类命名为拟蕈状芽孢杆菌(Bacillus paramycoides)JYZ-SD5,保藏于中国典型培养物保藏中心,保藏号为:CCTCC NO:M2018469,保藏日期2018年7月

13日,保藏地点中国武汉武汉大学。

2.权利要求1所述的拟蕈状芽孢杆菌JYZ-SD5在固氮、解有机磷和解钾中的应用。

3.权利要求1所述的拟蕈状芽孢杆菌JYZ-SD5在产IAA中的应用。

4.权利要求1所述的拟蕈状芽孢杆菌JYZ-SD5在促进植物生长中的应用。

5.根据权利要求4所述的应用,其特征在于,所述的植物为水杉。

6.权利要求1所述的拟蕈状芽孢杆菌JYZ-SD5在耐重金属中的应用。

7.权利要求1所述的拟蕈状芽孢杆菌JYZ-SD5在处理重金属污染中的应用。

8.权利要求1所述的拟蕈状芽孢杆菌JYZ-SD5在产纤维素酶和蛋白酶中的应用。

9.权利要求1所述的拟蕈状芽孢杆菌JYZ-SD5在抑菌中的应用。

2+ 6+ 7+

10.根据权利要求6或7所述的应用,其特征在于,所述的重金属为Ni 、Gr 、Mn 。